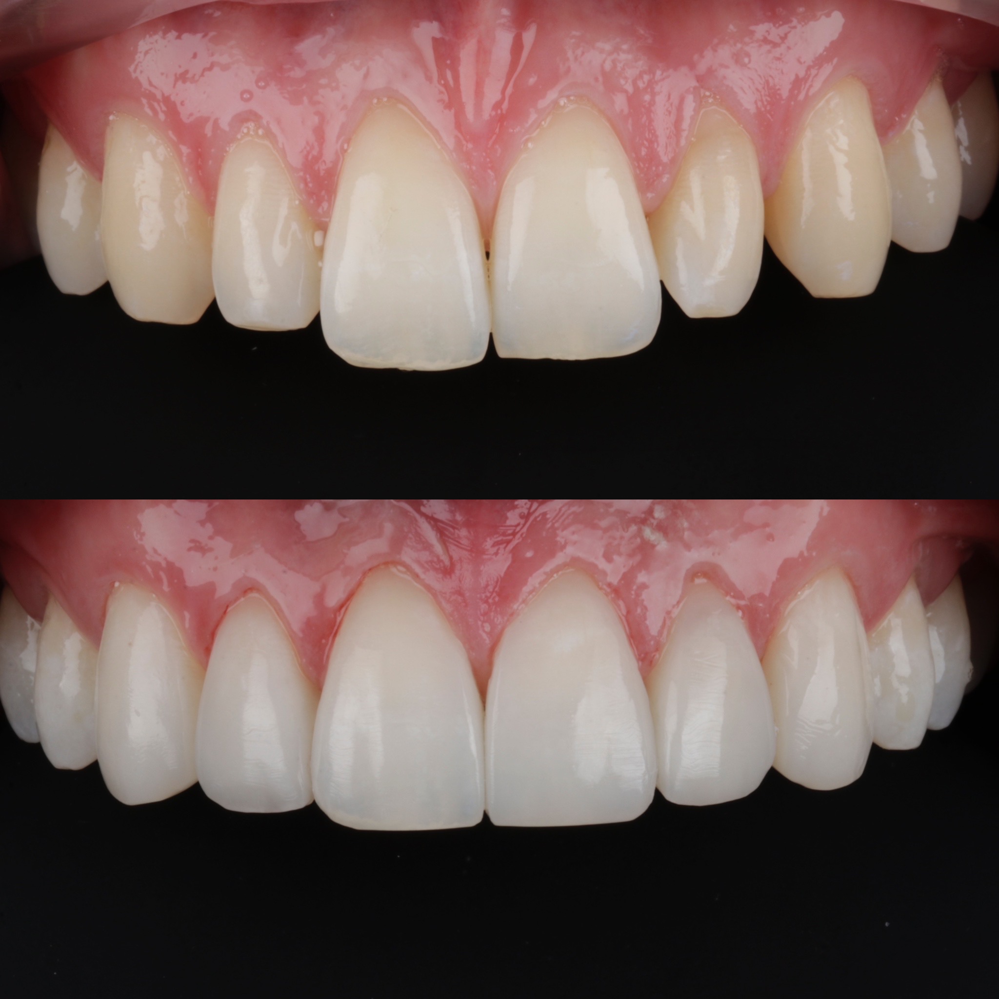
Some say bonding is a science. Others say it’s an art. On The Row, we feel cosmetic bonding is somewhere in between.
The treatment combines dental and anatomical know-how with an artist’s steady hand and eye for detail as our cosmetic team literally sculpts and re-shapes the smile tooth-by-tooth to perfection.
The fast, gentle procedure produces anything from a subtle smile lift to all-out brilliance—the final effect is up to you.
We can also use composite bonding to address minor imperfections like discolouration, chips, and gaps.
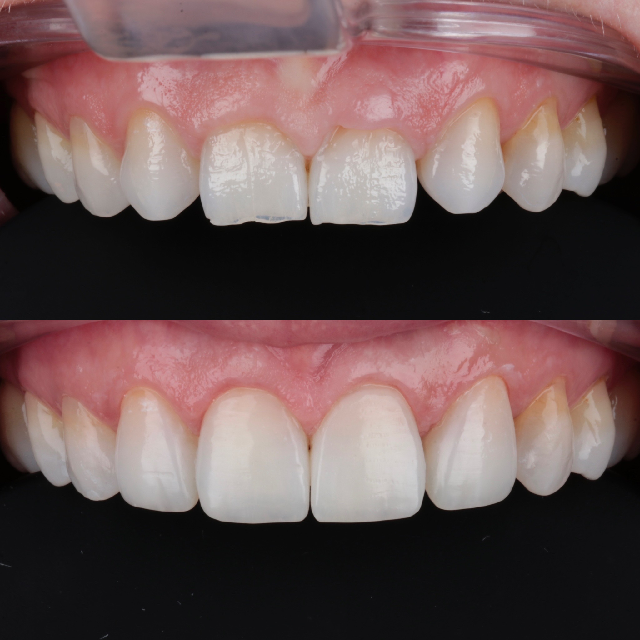
Book A ConsultationThink of composite bonding as being like sculpting for the smile.
Our team starts by applying a tiny amount of hard-wearing tooth-coloured resin to the teeth, shaping it like an artist working with clay.
No detail is overlooked—right down to the microscopic texture of the surface tooth enamel.
Once each tooth is sculpted to the perfect size, contour and proportion, we’ll cure the resin to harden it and then provide a polish to give it the pearlescence and feel of gorgeous, natural tooth enamel.
No two cosmetic bonding treatments are the same—the final result is up to you. We’ll start with a conversation to discover what you love most about your smile and what makes your idea of perfection.
We’ll design a bespoke treatment plan based on our initial consultation. We can use the cosmetic bonding process to repair minor damage, fill gaps, and improve the contours and symmetry of your smile.
Once you’re happy with the treatment plan, we’ll go ahead and begin your bonding treatment. The procedure involves a dentist applying tiny amounts of tooth-coloured resin to your smile before sculpting and shaping it to perfection.
Here’s our favourite part—where you get to see the stunning results. We know you’ll love what you see, but we’ll give you a few weeks to get used to your new smile before inviting you back to The Row for any final tweaks.
Ruben regained his confidence after treatmen
Nadia is amazed by her transformation
Eishel’s dream smile came true
Choose cosmetic bonding on The Row, and you couldn’t be in better hands.
Our team is headed by award-winning dentist and founder of The Row, Dr Slaine Ker, who enjoys more than a decade of experience practising in hospital surgical wards and on Harley Street, London.
Slaine’s work has earned her the Best Dentist in Dentistry Scotland Awards’ under-35 category, where she was also highly commended in 2023.
On The Row, Slaine has surrounded herself with an exceptional team that shares her passion and commitment to life-changing cosmetic dentistry.
Contact our team to arrange an assessment and start your composite bonding journey on The Row.
BOOK A CONSULTATIONHow can composite bonding help?
Composite bonding can improve the appearance of discoloured, chipped, cracked, or misaligned teeth. The resin material is carefully shaped and polished to match the colour and shape of the surrounding teeth, resulting in a more aesthetically pleasing smile.
How long do the results last?
Composite bonding is a durable and long-lasting dental treatment lasting up to five years with proper oral hygiene and regular polishes.
What are the benefits of composite bonding?
Composites conserve the integrity of your natural tooth structure (there is no filing of the natural teeth). Composite bonding is often referred to as same-day veneers because they can be placed on a single visit. The process is much simpler than porcelain veneers.
Will people know I’ve had treatment?
There’s an art to creating natural smiles with composite bonding. We’ll match the resin to the shade of your surrounding teeth for a natural, blended look. Although friends and family may compliment your natural-looking smile, no one needs to know you’ve undergone treatment unless you tell them!
Can I tweak and adjust the results?
Yes! Composite is a completely adjustable material, so your dentist will always book a review and adjustment appointment a few weeks after your bonding appointment.
By your review appointment, you will have had time to get used to your new smile and might like some minor adjustments. There is no limit on how many adjustments we can make to your composite restorations – we will ensure complete satisfaction with your new smile.
Does it affect my natural teeth?
Unlike other dental procedures that require the removal of tooth enamel, composite bonding is a minimally invasive procedure that doesn’t require the removal of any healthy tooth structure.
Does it require significant upkeep?
Composite bonding does require upkeep to keep the bonded teeth looking their best. This includes regular brushing and flossing to maintain good oral hygiene and prevent staining, avoiding hard or sticky foods that could damage the bonding material, and avoiding habits such as biting your nails that could chip or break the bonding.
Additionally, the bonding material used in composite bonding can be susceptible to discolouration over time, especially if you consume certain drinks (coffee and red wine) or smoke. We recommend periodic polishing to maintain the appearance of the bonded teeth.
We’ll provide you with specific recommendations on caring for your bonded teeth and making them last as long as possible.
How long will it take to start treatment?
A complete dental health assessment is required to create your best treatment plan. If any general treatments are needed to establish good oral health, we’ll need to complete them before your treatment. For example, we may recommend an appointment with our hygienist to ensure your gums are perfectly healthy, any staining has been removed, and you understand how to keep the restorations clean.
Any teeth whitening must be completed before any composite treatment is carried out. Once these steps have been taken, your bonding appointment will be booked, and your new smile is just around the corner! Treatment usually takes around an hour, and we’ll also arrange a review and adjustment appointment 3–4 weeks later.
Why choose Composite over Porcelain Veneers?
There are pros and cons to both treatments. Composite is less invasive than porcelain, so in most cases, the natural tooth structure is retained. It is carried out in a single visit, whereas porcelain requires multiple visits. Composite is less expensive; however, porcelain lasts longer and doesn’t stain or require regular polishing. Both materials are made to look very natural, and we can achieve great results with both.
Is it painful?
No! Composite bonding is a quick and painless procedure that can be completed in a single visit to the dentist. Local anaesthesia is typically unnecessary, and the process can be completed in as little as 30 minutes per tooth.

Oops! You are using an outdated browser!
Click here to upgrade your browser in order to view this page.